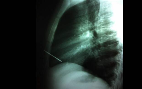
អន្តរជាតិ ៖ បើតាមការអោយដឹងពីទំព័រសារព័ត៌មានបរទេស Happening ដែលទើបតែបានចេញផ្សាយកាលពីវេលាល្ងាចម្សិលមិញនេះ បានបញ្ជាក់អោយដឹងថា ជាងឈើវ័យក្មេងជនជាតិអាហ្សង់ទីនម្នាក់ ត្រូវបានរកអោយឃើញថា ពិតជាមានសំណាងហួសពីការស្មាន ស្របពេលដែលនៅរស់រានមានជីវិត បន្ទាប់ពីដែកគោល ប្រវែង ៣ អ៊ីង ត្រូវបានបាញ់ដោយអចេតនាចំបេះដូងរបស់គេ។

គួរបញ្ជាក់ផងដែរថា ជាងឈើវ័យក្មេង វ័យ ១៩ ឆ្នាំរូបនោះ មិនទាន់ត្រូវបានបញ្ជាក់អត្តសញ្ញាណនៅឡើយទេ។ហើយបើនិយាយពីការបាញ់ដោយអចេតនាចំបេះដូងរបស់ជាងឈើរូបនេះនោះ ត្រូវបានធ្វើឡើងដោយ មិត្តភក្តិម្នាក់ផ្សេងទៀត ធ្វើការងាររួមគ្នា ដោយមានការធ្វេសប្រហែស ខណៈពេលដែលកំពុងកាន់កាំភ្លើងបាញ់ដែកគោល។
លើសពីនេះទៅទៀត ប្រភពដដែលបានបន្ថែមថា ឧបទ្ទេវហេតុចៃដន្យមួយនេះ បានកើតឡើងនៅឯរោងចក្រឈើមួយកន្លែង ដែលពួកគេកំពុងតែបំរើការងារ នៅឯតំបន់ Cañuelas ។ ភ្លាមៗនោះ ក៏មានការអន្តរគមន៍ ដោយបានបញ្ជូនគាត់ទៅកាន់មន្ទីរពេទ្យ ដើម្បីធ្វើការសង្គ្រោះបន្ទាន់ ។ ជាលទ្ធផល បន្ទាប់ពីមានការវះកាត់ គាត់មិនបានស្លាប់បាត់បង់ជីវិតនោះទេ ខណៈពេលដែលការវះកាត់ទទួលបានជោគជ័យ៕
ដោយ ៖ រិទ្ធីប្រភព ៖ Happening