គួរយល់ដឹង ៖ នរណាថា Perpetually 29 អាចនឹងជាដំណឹងអាក្រក់? បើយោងទៅតាមអ្នកសិក្សាស្រាវជ្រាវបានអោយដឹងថា ពួកគេបានរកឃើញ Developmental Clock នៅក្នុងខួរក្បាលរបស់មនុស្ស ខណៈពេលដែលវាមានអត្តប្រយោជន៍ ក្នុងការបញ្ជាក់ពីអាយុរបស់បុគ្គលណាមួយ ដែលវាមានភាពត្រឹមត្រូវ ជាក់លាក់ រហូតដល់ទៅ 92% ឯណោះ។
គួរបញ្ជាក់ផងដែរថា បើយោងទៅតាមសម្តីរបស់លោក Timothy Brown ដែលបានមកពី Universityof Californis, San Diego School of Medicine បាននិយាយបញ្ជាក់អោយដឹងថា ៖ ពួកយើងបានរកឃើញនូវ Developmental Clock នៅក្នុងខួរក្បាល ពោលវាគឺជា សញ្ញាណជីវសាស្រ្តមួយ ដែលអាចចាប់យក ក៏ដូចជាធ្វើការវិភាគទៅលើអាយុកាលរបស់បុគ្គលម្នាក់ៗ។

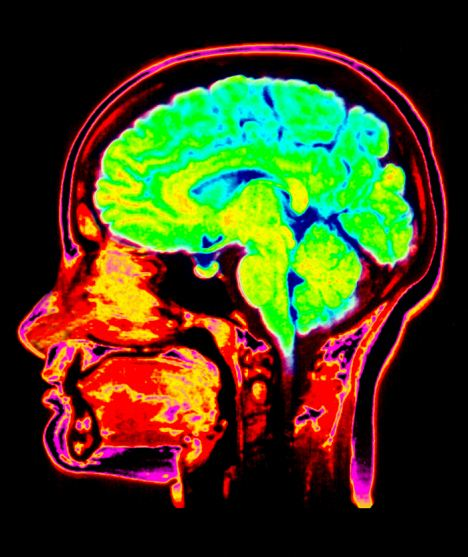
លើសពីនេះទៅទៀត គាត់បានបន្ថែមផងដែរថា ក្រោយពីមានការប្រើប្រាស់បច្ចេកវិទ្យាមួយដែលអោយឈ្មោះថា MRI ក្នុងការ scan ខួរក្បាលក្នុងចំណោមមនុស្ស 885 នាក់ដែលមានអាយុពីចន្លោះ 3 ទៅ 20 ឆ្នាំ បានរកអោយឃើញថា វាមានប្រសិទ្ធភាពខ្ពស់ក្នុងការវិភាគអាយុកាលរបស់បុគ្គលម្នាក់ៗ ពោលគឺ វាមានភាពត្រឹមត្រូវនឹងច្បាស់លាស់រហូតដល់ទៅ 92% ឯណោះ៕
ដោយ ៖ ពិសីប្រភព ៖ Dialymail